Contents
スキルアップセミナー
包括的歯科治療の基本
講師:小林 太郎 先生
(岩手県盛岡市開業)

包括的歯科治療の基本
包括的とは「全体をまとめている様」を意味するが、歯科治療において「包括的」とはどのような事であろうか?
当院においては審美と機能を融合する事と考えている。審美においては口腔内だけの問題ではなく顔貌との調和を回復する事、機能においてはアンテリアカップリング、アンテリアガイダンス、バーティカルストップを確立する事と考え日々の臨床を行なっている。
また、歯科治療において「永続性」という事はとても重要であり、自らが行なった治療を長期的に保つ事は大切な目標となる。それと同時に再治療、再介入ということも起こりうる問題として考慮しなければならない。この問題への対応として、Minimal Intervention(低侵襲治療)という概念がある。MIは、生体を守るという考えから大切であると共に、再治療、再介入という問題に対しても有効な治療方針である。
しかし、MIに固執する事で治療の妥当性を欠いてしまうこともあり、患者様の年齢や生活環境の変化など様々な観点から、治療計画立案時には戦略的に侵襲の大きな治療方針を選択する場合もある。そこで、MIという事を念頭に置きながら「Optimal Intervention(適切な治療)」を考慮した治療計画の立案をするということも重要である。
複雑な問題を抱えた患者に対して、1:Facially generated treatment planning;顔貌診査、2:Incisal edge position;上顎中切歯切縁の位置、3:Anterior guidance/Vertical stop;前歯のカップリングとガイドの確立 / 臼歯の咬合の確立、4:Minimal Intervention;低侵襲治療、という4つの項目を基本事項として、Optimal Interventionとなるような治療計画の立案を行なっている。



本講演においては以上の事を考慮して行なった症例を供覧する。
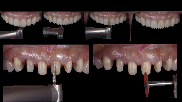
【症例供覧】※プライバシーポリシーの観点から顔貌写真は掲載いたしません。
主訴:審美性の改善
症例概要:多くの複雑な問題を抱えるコンプレックスケースと言える


1980年代にSpear.FはFacially generated treatment planningというコンセプトを提唱した。歯や歯列など口腔内の診査より前に顔貌と歯の調和を分析する事で包括的な歯科治療が可能となったが、具体的には治療の出発点としてIncisal edge positionを決定する事が最も重要であり、顔貌及び口唇との関係から総合的に最適な位置を決定する。


決定されたIncisal edge positionはMock upというステップにより口腔内において具現化される。
このステップにおいて顔貌との調和、Anterior guidance/Vertical stopの確立を一定期間のテストドライブにて確認する。



本症例においては、歯髄に及ぶ多数のカリエスを認めたがバイオセラミック材料により直接覆髄及び生活断髄を行い、MIを考慮した歯髄保存治療を行なっている。
また、近年、接着修復の数年後に接着界面で活性化されたMMPs(Matrix metalloproteinasses)により象牙質コラーゲンの加水分解が起こり、接着界面の劣化が起こるという問題が取り上げられている。この問題への対応としてIDSに先立って5%グルタラールアルデヒドを用いる事で接着力向上、術後知覚過敏抑制を行なっている。
失活歯においては破折ファイルの除去を行うなど、感染根管治療の後に根管充填を行なった。

隣接面を含む大きなカリエスのために隣接面歯質は失われており、全顎的にMIを考慮した理想的な支台歯形成を行う事はできなかったが、可能な限りエナメル質及び象牙質の保存に務めた。





最終補綴装置の装着により審美と機能の回復を行なう。



「正しい診断は一つだが、治療計画はいくつも考えうる:Amsterdam」という言葉があるように、治療には様々な選択肢があり、それゆえに治療計画の立案は難しいとも言える。
本講演で供覧した、当院における治療コンセプトも様々な選択肢の中の一つでしかない。
治療には潮流、変遷があり、急速に進むデジタル化への対応など課題は多くあるが、未来への希望とも捉えることができる。そのような中、術者には豊富な知識と技術が求められるが、医院全体で患者と共にエモーショナルに治療のゴールに向かっていくという情熱も大切だと感じている。
本講演が皆様の臨床への参考となれば幸いである。
誰にでも起こる患者さんとのトラブル・医療事故ー最近の事例よりー
講師:小田中 健策 先生
(岩手県盛岡市開業)

日常の診療に起きる患者さんとのトラブル、医療事故・過誤は我々にとって切っても切り離せない問題です。特に、トラブルの中でも診療内容に対する疑義、不満、料金等に関する苦情は医療相談全体の約半分を占めます。これらの問題は、患者さんへの説明不足、いわゆるインフォームドコンセントがうまく取れていなかったり、患者さんへの横柄な態度・対応(スタッフも含め)により起因しているものがほとんどです。
これらを踏まえ、岩手県歯科医師会では毎年会に寄せられた患者さん及び会員からの苦情、相談を集計、分析し事例集として会員に情報提供をしています。
今回は、特に令和元年度の事例を中心に最近の傾向、特徴を集計、分析し併せて過去の事例の経験より我々歯科医師のみではなくスタッフも含めた患者さんへの留意事項も提示、報告します。
また、最近の医療事故等に係る事例を基に医師賠償責任保険や岩手県歯科医師会顧問弁護士への委任及び平成27年から始まった医療事故調査制度への理解もより深めてもらい、今後の診療の一助にして頂ければ幸いです。
成長発育期の矯正歯科治療の利点と留意点
講師:中野 廣一 先生
(盛岡市開業 なかの矯正歯科 院長、岩手医科大学 非常勤講師)

人生のライフステージの中で、成長発育期の矯正歯科治療は、個体の成長のポテンシャルを引き出したり、制御したり、形態や機能を正常の方向へと誘導したりできる大きな可能性をひめています。
日々の臨床の中で、早めに小児の「不正咬合の芽」を看破し、必要があれば、積極的に介入、あるいは二次、三次医療機関に紹介して対処することが、個体のその後のライフステージの歯科的健康にも寄与するものと考えます。 成長発育期小児の矯正歯科治療上の特徴は、1)顎骨の成長発育を利用できる、2)細胞活性が高いため歯の移動が容易である、3)埋伏歯や歯軸方向異常歯の改善が容易である、4)歯列正中偏位の改善が容易である、5)歯肉退縮(ブラックトライアングル(BT)等)が生じにくい、などです。
今回の動画講演では、上顎前突:主に機能的顎矯正装置(アクチベーター、バイオネーター)、開咬:口腔筋機能療法と歯科矯正用アンカースクリュー、顎偏位:機能的顎矯正装置、などの適用例、弱い矯正力による歯の移動(急速叢生改善)例、咬合性外傷による歯頸露出の改善例、埋伏歯の開窓牽引例(適用基準含)、歯軸方向異常上顎犬歯の第一乳臼歯早期抜歯による改善例、上下顎乳犬歯の意図的片側抜歯による歯列正中偏位の改善例、マルチブラケット装置の適用開始年齢差によるBTの発生頻度などについて、症例を示しながら、成長発育期の矯正歯科治療の利点と留意点について概説させていただきました。
機能的顎矯正装置(アクチベーター、バイオネーター)の効果的な使用方法の要点


適 応 症:下顎後退傾向のある骨格性上顎前突も含めた上顎前突症全般
(成長期の睡眠時無呼吸症候群者も含む)
非適応症:開咬を伴う上顎前突症(絶対的非適応症ではない)
装置の使用ができない方
適応年齢:下顎の思春期性成長発育期(暦齢:11?15歳)
効果的な使用方法の要点:
(1)通常いわれているよりも少し高めの、上下切歯間で約4?5mm の構成咬合位とすること。
(2)思春期性成長発育期で適用すること。
(3)就寝時のみとせず、一日14?18 時間という比較的長時間の使用を指示すること。
(4)バイオネーターを入れて、就寝時前20分の噛みしめの指示すること。
片側交叉咬合を早期に改善する方法と要点

(1)健側の上顎乳臼歯と第一大臼歯咬合面にオクルーザルパッドを装着する。
(2)患側(交叉咬合側)の上顎乳臼歯と第一大臼歯頬側、および下顎乳臼歯と第一大臼歯舌側にリンガルボタンをボンディングする。
※ バッカルクロスバイトの場合です。リンガルクロスバイトでは逆です。
(3)リンガルボタン間に顎間エラステック(3/16 Mか1/4 M)をかけさせます。
(4)顎間エラステックの使用時間は就寝時を中心に12時間以上を指示します。
(5)オクルーザルパッドは徐々に削去し、交叉咬合が改善したら撤去します。
(6)二態咬合が生じたら、食事時も含め正しい顎位(片側交叉咬合が改善する下顎位)での噛み込みを指示します。
下顎切歯部の叢生を早期に改善する方法と要点

(1)下顎切歯にセルフライゲーションブラケットをボンディングする。
(2)0.012″あるいは0.010″の極細のフレキシブルなNiTiワイヤーを通す。
(3)この時にワイヤーの反作用による下顎切歯の唇側傾斜(フレアーアウト)を防止するために、必ず臼歯部のチューブから切歯に弱いエラストメトリックチェーンをかける、あるいは臼歯部のチューブまでワイヤーを通し、シンチバックしておくことが重要です。
乳犬歯の意図的片側抜歯で歯列正中偏位を改善する方法の要点

(1)移動させたい側の乳犬歯の抜歯を行う。
(2)歯列正中が改善してから反対側の乳犬歯の抜歯を行う。
(そのことで歯列正中が再度偏位することはありません)
(3)下顎の乳犬歯抜歯の方が上顎乳犬歯抜歯より歯列正中移動量は大きい。
(4)側方歯群のディスクレパンシー量が多い方が歯列正中移動量は大きい。
子どものアゴの正しい発育を促すための3つの基本事項
(1)まず、猫背(丸背)をやめ、姿勢を正す。
(2)お口を閉じ、鼻呼吸を中心に行う。
(3)つとめて歯ごたえのあるものを両側でよく噛んで食べる。
(片側噛みはしない、利きアゴは作らない・・)
を日々実践させることが大事です。
スキルアップ ろう義歯試適 無歯顎患者の人工歯排列
講師:遠藤 義樹 先生
(医療法人 ハイライフ東北 仙台青葉通り歯科医院 岩手医科大学歯学部臨床教授)

本講演では,実際に臨床に携わっている初学者を対象に総義歯の基本事項を整理してお話させていただきました.今回は第61回学術研修会ベーシックセミナーでお話しした咬合採得に次いで,その第三弾として人工歯排列とろう義歯試適をテーマとしました.
公益社団法人日本補綴歯科学会編の歯科補綴学専門用語集第5版によると,ろう義歯とは「人工歯排列と歯肉形成が完了した重合前の義歯.患者の口腔内に試適して,審美性,顎間関係,発音機能などを確認し,必要に応じて修正した後に重合される」とあります.すなわち,ろう義歯は可逆性の完成義歯であるべきで,その試適時には義歯床の形態(歯肉形成を含む),顎間関係,人工歯排列の順に,患者にとって適正であるかを確認する必要があります.
前回の講演でもご紹介した,米国も含めて国際的に最も知名度が高く,歴史の古い教科書である「無歯顎患者の補綴治療」の最新刊である第13版では,人工歯排列の基準として10のランドマークを挙げ,ろう義歯試適時には27のチェック項目が挙げられており,以前と比較して丁寧かつ具体的に記述されています.今回の講演では,これらの項目に準じて人工歯排列とろう義歯試適について解説しました.
1.人工歯選択
人工歯は天然歯の代用として歯の欠損部を補い,歯列の形態および機能を回復する目的でつくられたものです.その役割は「咀嚼」と「審美」に加え,「義歯の維持・安定」と「義歯の永続性」にあることをお話ししました.そこで人工歯を歯科技工士さんまかせで安易に選択すべきではなく,個々の症例に応じて選択すべきです.最終義歯の人工歯選択では,その材質に関して,前歯は臼歯ほど高い耐摩耗性が必要ないことから,義歯床との接着やチッピング耐性が高いものを選択します.切縁の透明感や蛍光生が自然なものほど良いのですが,天然歯に近いものほどチッピングが生じやすい製品となるので注意が必要です.一方,臼歯に関しては,長期的な使用を考慮して耐摩耗性の高い製品を選択します.臼歯人工歯形態を選択・決定するのは,顎間関係や顎堤条件を加味して設定した咬合様式・頬舌幅径と咬合接触点の与え方となります.
2.顎間関係の確認
総義歯治療の各ステップは,前回の治療内容が適切に行われているかどうかの確認から始まります.すなわち,ろう義歯試適とは前回行った咬合採得が適切であったかの確認のステップにほかなりません.設定した垂直的顎間関係(咬合高径)が適切であるか否か,そして水平的顎間関係が咬合器上と口腔内と一致しているかどうかの確認が必要です.この確認がなされないまま,人工歯排列の位置を確認しても無意味です.
咬合器上での人工歯同士の嵌合と口腔内での嵌合状態が不一致であれば,採得した顎間関係が間違っていた(positional error),もしくは設定した顎間関係を正確に咬合器上に再現されていなかった(technical error)結果が生じているということになります.その場合は,すみやかに咬合採得し直して咬合器に模型を再装着する必要があります.これらの確認・操作すなわち下顎位の確認をおざなりにして,ろう義歯試適のステップでは審美性(前歯部排列)の確認のみが着目されがちなので,注意が必要です.
3.人工歯排列位置の確認
片顎ずつろう義歯を装着して,下顎咬合平面の高さと傾斜が舌房と調和しているかどうか,前歯の排列位置が口唇と調和しているかどうかの確認を行ったうえで,前歯排列,とくに正中が顔面正中と一致しているかどうかの確認が重要です.可能であれば歯科技工士の立ち会いのもと,不備があればその場で修正します.前歯排列は患者さんの希望を最優先としながらも,術者側(歯科医師・歯科技工士)も積極的に自分達のカンファランス結果を提示すべきであり,患者さんとの共同作業となります.
今回の講演が,少しでも皆さんのお役に立つことができれば光栄に思います
